<대퇴골 골절>
근력운동과 골다공증 관리,
수술 후 회복의 핵심!
⚊
대퇴골 골절은 대개 외상에 의해 발생하지만, 골다공증 치료를 오래 지속한 고령 환자에서는 뚜렷한 외상 없이도 골절이 일어날 수 있습니다. 걷거나 움직일 때 같은 부위에 계속 통증이 나타나면서 수일간 지속된다면 대퇴골 골절을 의심해봐야 합니다.
원인 및 증상
- 외상에 의한 골절
대퇴골이 골절되는 가장 흔한 원인은 외상입니다. 젊은 환자는 교통사고나 추락 같은 큰 힘에 의해 다치는 경우가 대부분이며, 고령의 환자에서는 고관절 골절로 알려진 대퇴경부와 전자부의 골절이 가장 흔합니다. 다칠 때의 자세에 따라 모든 부위에서 골절이 발생할 수 있습니다.
- 골다공증이 동반된 경우
골다공증이 동반되어 뼈가 약한 고령의 환자에서는 낙상처럼 약한 힘으로도 비교적 흔하게 골절이 일어납니다. 가장 흔한 증상은 허벅지나 엉덩이의 심한 통증으로, 통증 때문에 혼자 일어서거나 움직이지 못한다면 대퇴골 골절을 의심해봐야 합니다.
- 특별한 외상 없이 골절이 일어나는 경우
특별한 외상 없이 골절되는 경우 움직임과 보행이 가능할 수 있습니다. 걷거나 움직일 때 같은 부위에 계속 통증이 나타나면서 수일간 지속된다면, 대퇴경부의 골절 또는 비정형 대퇴골 골절의 가능성을 생각하고 병원을 찾아 검사받아야 합니다.
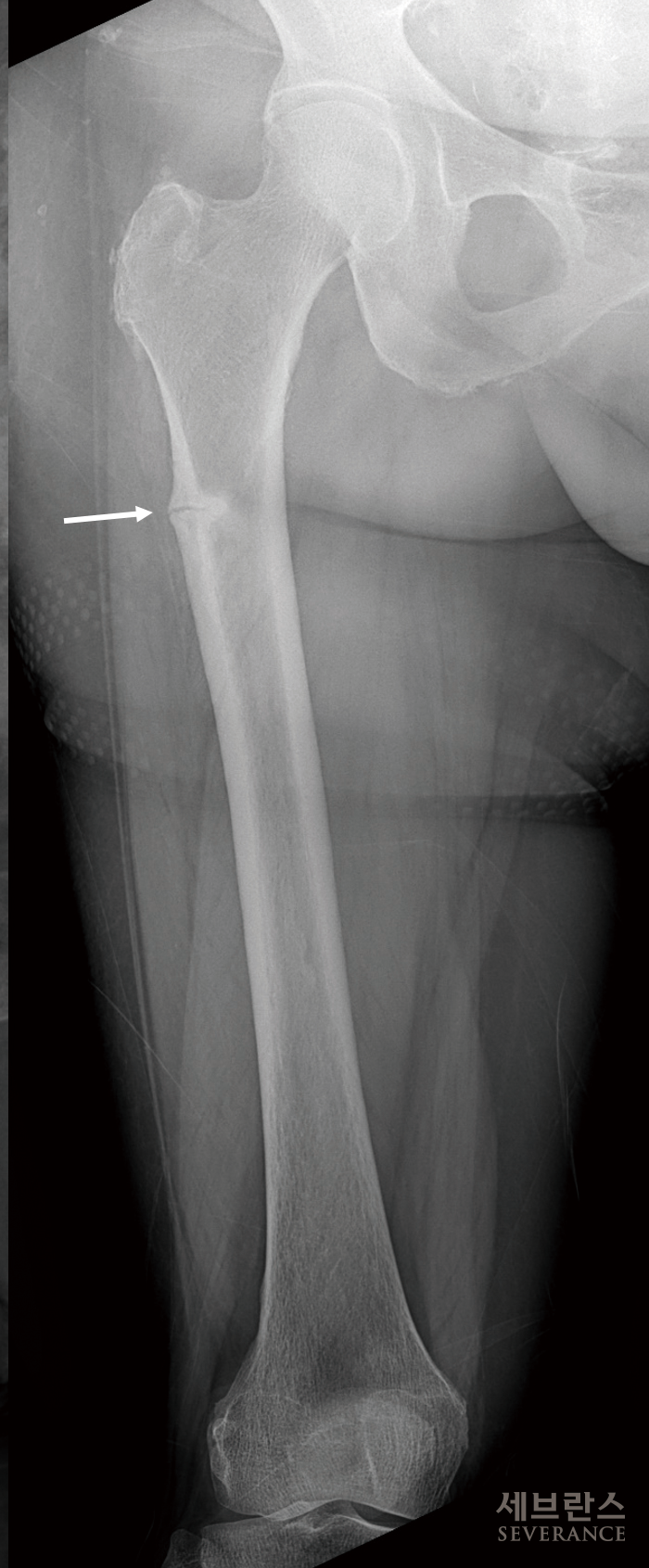
비정형 대퇴골 골절
*비정형 대퇴골 골절이란? 발생 원인은 명확하지 않으나 주로 골다공증 치료를 오래 지속한 환자에서 대퇴골 전자 하부 또는 몸통부의 바깥쪽에 금이 가다가 골절되는 것으로, 일반적인 대퇴골 골절과 달리 질환의 일종입니다. 뚜렷한 외상이 없거나 가벼운 외상으로도 골절이 일어나고, 특이한 골절 형태를 보입니다. |
- 인공관절 주위의 골절
최근에는 인공관절 수술이 증가하면서 인공관절 주위 골절도 흔하게 발생합니다. 치료 방법은 일반 골절과 같으나 인공관절이 삽입된 만큼 고정할 수 있는 뼈가 적기 때문에 치료가 더 까다롭습니다.
수술
대퇴골 골절 수술은 일반적으로 다른 부위의 골절처럼 뼈를 붙이는 치료를 하고, 고령의 대퇴경부 골절 환자에서는 인공관절 치환술을 하기도 합니다. 전신 또는 척추마취가 필요하며 골절로 어긋난 뼈를 잘 맞춘 뒤 여러 금속 기구를 이용해 적절하게 고정시킵니다.(금속판, 금속정) 많은 환자들이 수술 후 초기에 뼈가 잘 붙고 있는지 궁금해합니다. 골유합에 필요한 시간은 개인마다 차이가 있으며, 보통 3-6개월 정도 걸립니다. 수술 후 외래진료에서 일반 방사선검사를 시행해 고정된 뼈가 움직이는지, 삽입된 금속에 문제가 없는지 등을 확인하는데, 이때 뼈가 잘 고정되어 있고 금속 주위에 문제가 없으면 대부분 골유합이 잘 이루어집니다.
대퇴골 골절 후 나타날 수 있는 합병증
일반적으로 골절은 외상에 의해 발생하기 때문에 재발이라는 표현을 사용하지 않습니다. 그러나 고령의 고관절 골절 환자는 5명 가운데 1명꼴로 1년 내에 반대쪽 고관절에 골절이 발생할 위험이 있어서 수술 후 관리가 매우 중요합니다. 한쪽 대퇴골 골절은 수술로 비교적 잘 회복되지만, 앞선 골절이 완전히 회복되기 전에 반대쪽에도 골절이 발생하면 회복이 매우 어려울 수 있습니다. 대퇴골 골절 후 나타날 수 있는 합병증은 불유합, 지연유합, 골수염 등이 있습니다.
- 대퇴골두괴사
특히 대퇴경부에서는 뼈가 부러지면서 대퇴골두로 가는 혈행이 손상되어 대퇴골두괴사가 발생할 수 있으며, 골절의 전위가 클수록 괴사 위험이 높습니다. 수술 후 1년 정도 지났을 때 가장 많이 나타나고, 경우에 따라서는 4-5년이 경과한 시점에도 발생할 수 있기 때문에 정기적으로 외래진료를 받아야 합니다.
- 불유합
불유합은 대부분 고정력이 약해서 발생합니다. 적절한 고정력을 가질 수 있도록 환자 나이와 활동 정도, 수술된 상태 등을 고려해 가장 도움이 되는 방법으로 수술치료를 시행합니다.
수술 후 관리
수술 후 관리에서 가장 중요한 것은 골다공증 관리와 근력운동입니다.
- 골다공증 관리
일반적으로 고령에서 골다공증에 의한 골절은 손목부터 허리, 고관절 순으로 발생한다고 알려져 있습니다. 골밀도가 일정 수준보다 낮으면서 골다공증성 고관절 골절이 발생한 환자군을 ‘심한 골다공증’ 환자로 분류하며, 이 경우 적극적인 치료가 필요합니다. 간혹 고령을 이유로 치료를 거부하는 환자들도 있는데요. 이런 고령의 환자야말로 반대쪽 고관절을 포함해 다른 부위에도 골절 위험이 매우 높기 때문에 향후 발생 가능한 골절을 최대한 예방하기 위해서는 적극적인 치료가 반드시 필요합니다.
- 하지 근력운동
골절이 일어나면 주변 근육도 손상되지만 재활 기간에 일상생활을 하지 못해 근육이 빠르게 약해지므로, 반드시 시간을 따로 내서 하지 근력운동을 하는 것이 중요합니다.
수술 직후부터 할 수 있는 운동으로는 반듯하게 누운 상태에서 다리를 들었다 내리기가 있습니다. 다리를 올리는 높이는 30cm 정도면 충분하고, 천천히 내리는 것이 매우 중요합니다. 다리를 내릴 때 힘을 풀고 떨어트리면 정작 근력운동은 되지 않고 수술한 다리에 불필요한 충격만 가하게 되므로 주의합니다. 만약 스스로 다리를 올릴 수 없는 환자라면 보호자가 손가락 한두 개를 발뒤꿈치 아래에 받쳐 약간의 힘만 더해주면 대부분 운동할 수 있습니다. 하루 3번, 10회 이상씩 양쪽 모두 운동하는 것이 좋으며, 무리 되지 않는 선에서 서서히 횟수를 늘립니다.
골절 예방법
65세 이상 고령에서는 3명 가운데 1명이 매년 낙상을 경험합니다. 나이 들수록 균형감각이나 유연성, 근력이 감소하기 때문입니다. 한 번 낙상이 발생하면 이후 반복적으로 낙상을 경험하면서 골절까지 이어질 수 있으므로 생활 속 낙상 방지에 신경 써야 합니다.
1. 외출 시 낙상 방지법
- 외출 전 가볍게 스트레칭을 해서 몸을 예열하고 근육을 이완하는 것이 낙상 방지에 도움이 됩니다. 겨울철 길이 얼어 미끄럽기도 하지만, 기온이 낮아지면서 몸이 경직되기 때문에 쉽게 넘어지기 때문입니다.
- 겨울철에는 얇은 옷을 여러 번 겹쳐 입어 보온 효과와 민첩성을 높입니다.
2. 집 안에서의 낙상 방지법
- 낙상 방지를 위해 화장실 바닥을 건조하게 유지합니다.
- 침실에 장시간 있다가 일어설 때는 어지럼증으로 넘어지지 않도록 앉은 상태에서 완벽히 정신을 차린 뒤, 천천히 일어섭니다.
- 불이 꺼진 새벽 시간에 특히 주의해야 하며, 집 안의 주된 이동 통로에 있는 장애물을 치웁니다.